
Specijalna bolnica Medico predstavila novu uslugu – magnetsku rezonancu cijelog tijela: bezbolnu, neinvazivnu pretragu za preventivnu procjenu zdravlja cijelog organizma
Magnetska rezonanca cijelog tijela, poznata kao MR cijelog tijela, sve češće se koristi u modernoj medicini zbog svoje neinvazivnosti i preciznosti.
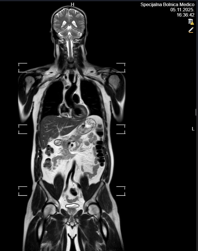
Radi se o bezbolnoj radiološkoj pretrazi koja omogućuje uvid u strukture čitavog organizma tijekom jednog snimanja, bez izlaganja pacijenta ionizirajućem zračenju. Ova metoda smatra se vrlo sigurnom te je najčešće namijenjena osobama s povećanim rizikom za razvoj zloćudnih bolesti, ali i onima koji žele preventivno provjeriti svoje zdravstveno stanje. Osim za ranu detekciju tumora i upalnih procesa, MR cijelog tijela često služi kao dopuna drugim radiološkim pregledima.

Snimanje se izvodi u trajanju od oko četrdeset minuta, dok cijeli proces prosječno traje sat vremena. Pregled se obavlja bez korištenja kontrastnog sredstva i bez zračenja, a za pacijente s izraženom nelagodom u skučenom prostoru moguće je snimanje uz kratkotrajnu sedaciju.
U sklopu jednog snimanja, MR omogućuje prikaz mozga, struktura prsnoga koša, trbušnih organa poput jetre, žučnog mjehura, gušterače, slezene i bubrega, zatim nadbubrežnih žlijezda, zdjeličnih organa (mokraćni mjehur, rektum, maternica i jajnici kod žena te prostata kod muškaraca), kao i cijelu kralježnicu – vratnu, prsnu i lumbalnu. Pregled pruža orijentacijski uvid u stanje organizma i može otkriti eventualne promjene koje zahtijevaju dodatnu obradu. Nakon pregleda pacijent dobiva preporuke za daljnju dijagnostiku i eventualne terapijske postupke, čime se olakšava pravovremeno donošenje odluka o zdravstvenoj skrbi.

U Specijalnoj bolnici Medico pregled se obavlja bez čekanja na termin, a nalazi su dostupni u najkraćem mogućem roku, najkasnije unutar tri radna dana.
Za pravovremenu i pouzdanu procjenu zdravlja, rezervirajte svoj termin i iskoristite prednosti MR pregleda cijelog tijela. (promo)







